INVISALIGN

Straight teeth isn’t just for cosmetic purposes or esthetics - it’s about your health. Misaligned teeth can cause build up of bacteria and tartar associated with heart disease and gum disease, as well as premature wear of your teeth. Properly aligned teeth make it easier for you to properly brush and floss, which lead to a healthier and happier smile.

Invisalign treatment involves a series of clear aligners that move teeth into a better, healthier position. Invisalign is a fantastic option for individuals wishing to realign their teeth without the metal brackets traditional braces require. It is an easy, comfortable, and esthetic option that many adults prefer and it does not contain any metal. Because the trays are removable, you are able to brush and floss your teeth as you normally would at home. Total treatment time and number of aligners depends on each individual case.

Here are some problems that are commonly corrected with Invisalign®:

  • Overcrowding – This occurs when there is too little space for the teeth to align normally in the mouth.  It can be difficult to floss and you could have chipping or wearing of teeth.

  • Large gaps between teeth – This can occur due to teeth that are missing or because the jaw continues to grow abnormally.

  • Crossbite – This dental problem occurs when one or multiple upper teeth bite inside the lower teeth.  As a consequence, uneven wear can lead to bone erosion and gum disease.

  • Overbite –This is also known as a deep bite. This problem occurs when the upper teeth project further than, or completely cover, the lower teeth.  Eventually, jaw pain and TMJ may occur.

Clear and convenient orthodontics

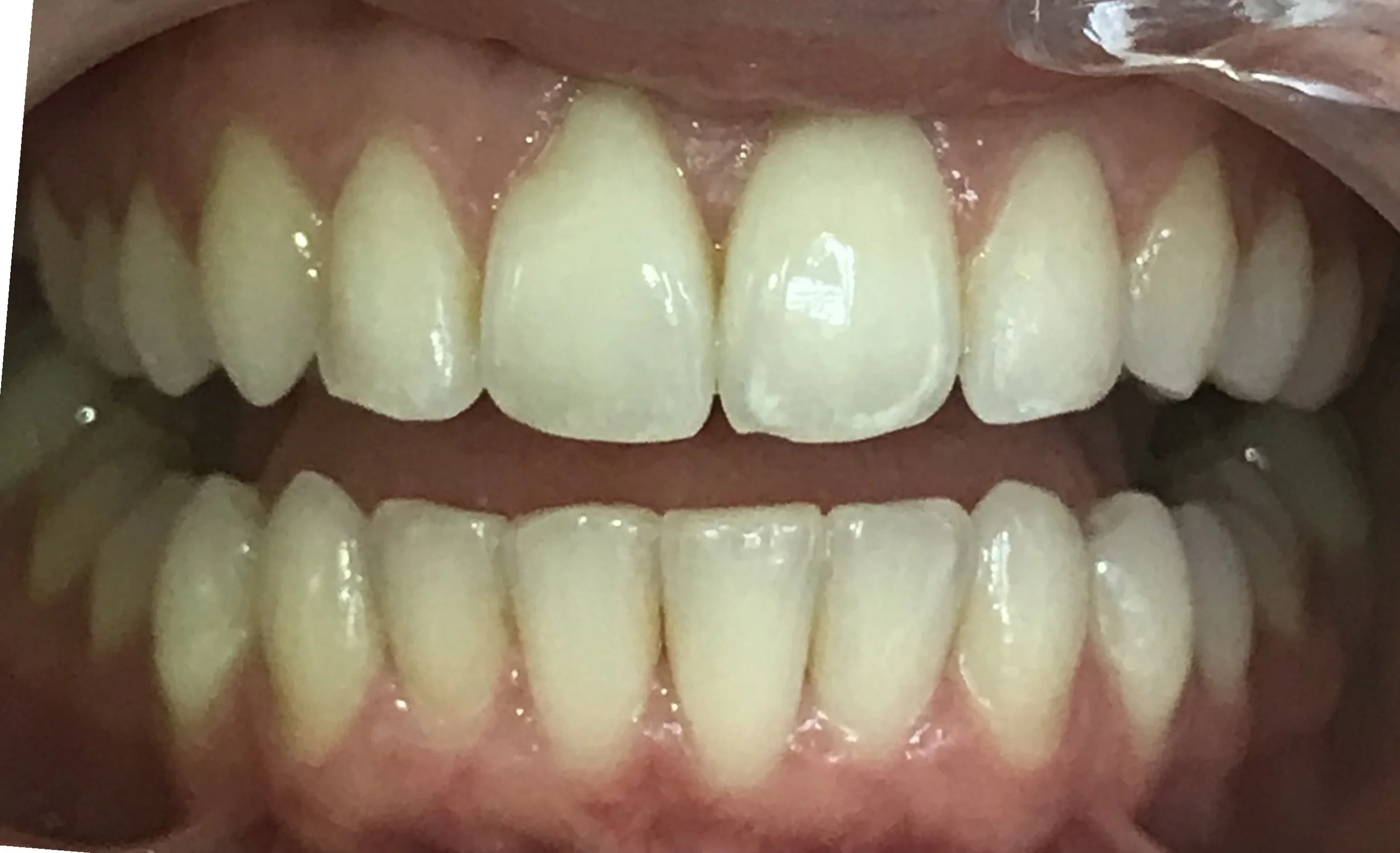
Smile before invisalign treatment
Smile slightly open before Invisalign treatment
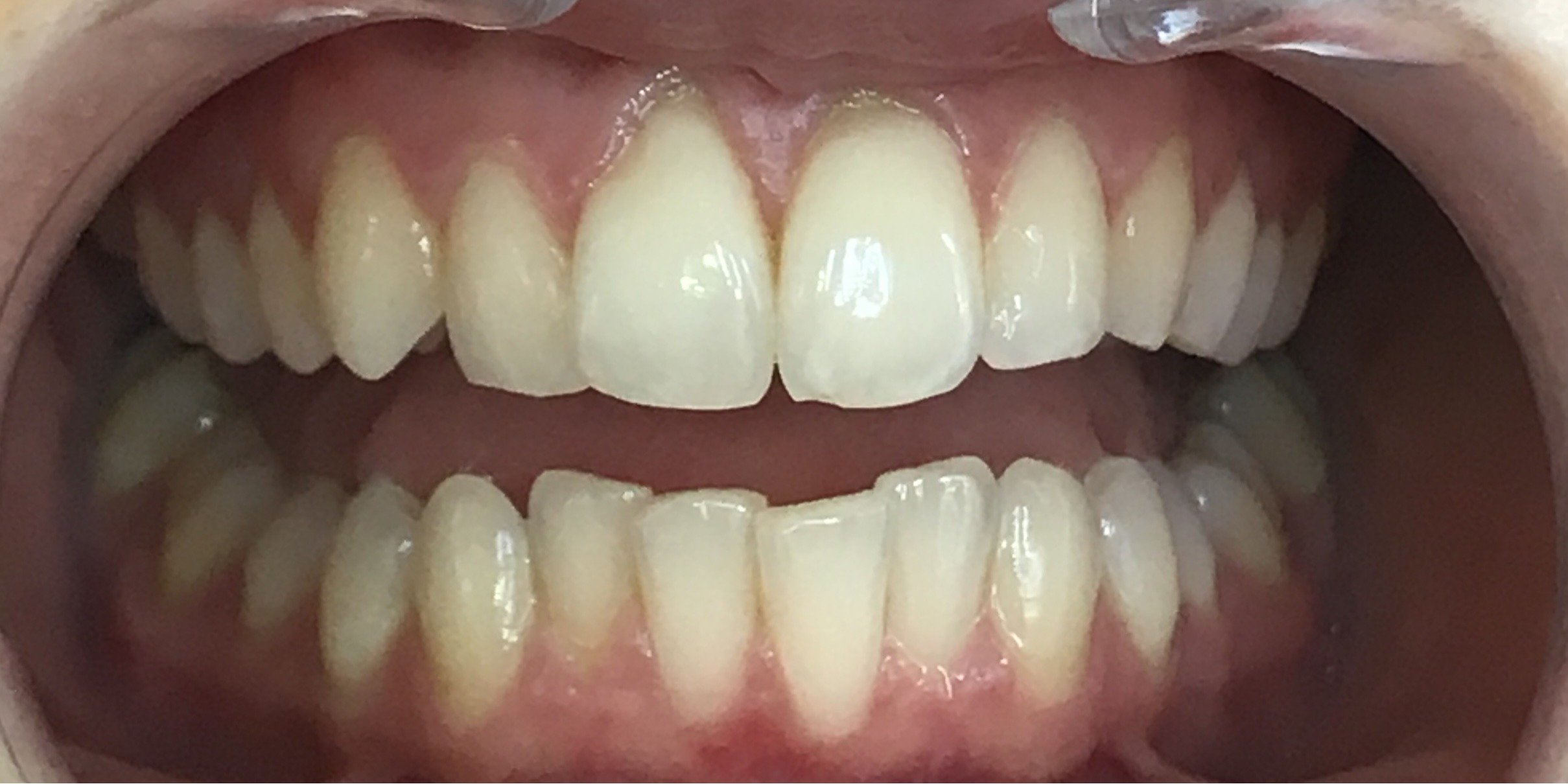
final smile after invisalign treatment
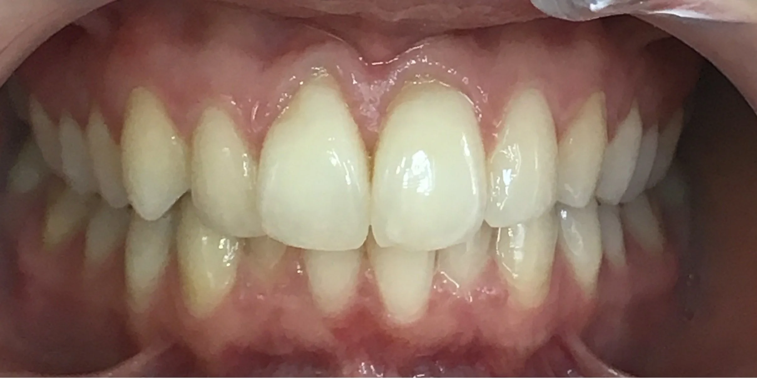
post-op open smile
Smile before invisalign treatment
Smile slightly open before Invisalign treatment
post-op open smile
final smile after invisalign treatment